


By Admin. Updated 10:37 p.m., Saturday, March 2, 2024, Atlantic Standard Time (GMT-4).
A close family member of a man who was shot in the Cedars/Mount Grenan area on March 2, has confirmed that he was shot in his back by police.
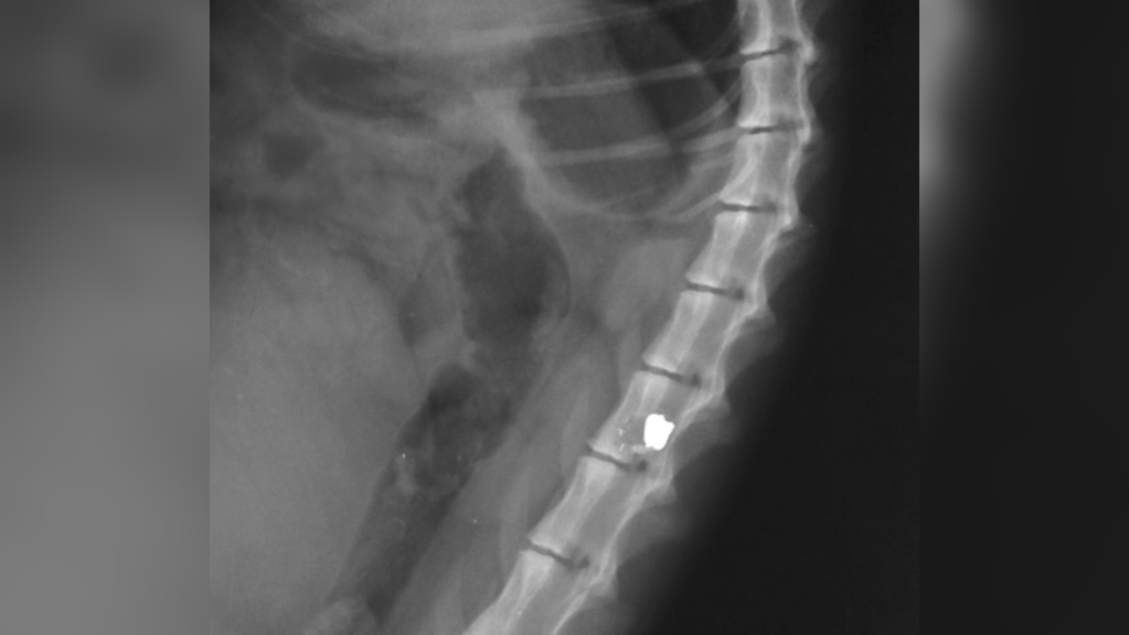
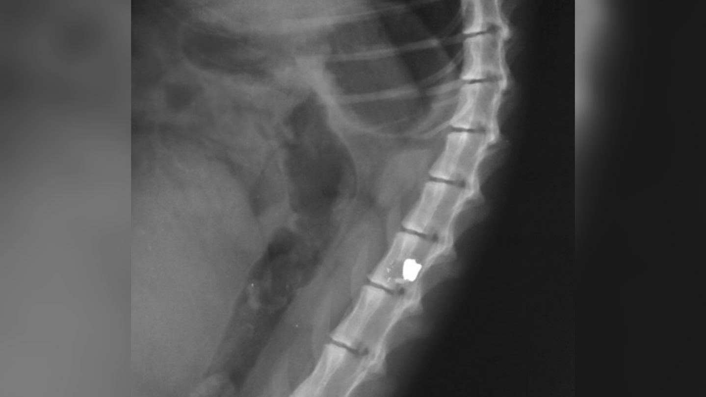
According to the family member who is close to the matter and the shooting victim, one of the bullets fired by the police caught the man in the area of his spine.

One News SVG contacted the police who confirmed that a shooting incident occurred , but they gave no further details.
According to the family member, the victim (whose name is being withheld for privacy reasons) was parked in a vehicle on the side of the road at around 1:30 on Saturday morning (March 2).

“A vehicle pulled up and the lights were extremely bright. He (the victim) really couldn’t see; it was dark and all he really saw were the lights, (not police lights, just like the bright headlights) and like some men with guns pointed at the vehicle,” the family member told One News SVG tonight (March 2).
“The men did not identify themselves as police, and they were wearing black. All (name omitted) saw was the front, and he did not know they were police. They did not identify themselves as police,” the family member said.

“So, (name omitted) in his panic drove off. That’s like a natural reaction. You see some men come up to you with guns, you move,” the family member said.
“They began shooting at the vehicle and one of the bullets went into his back. After they shot him, at that point is when they identified themselves as police, but at that point, it was already too late. He was already shot,” the family member told One News SVG.

It turned out that on the back of their clothes, they had the word “Police” printed, the family member said.
“They took him to Georgetown Hospital and later transferred him to the Milton Cato Memorial Hospital MCMH for treatment.
“Over the last two years, St. Vincent and the Grenadines has seen an uptick in gun violence with 42 homicides in 2022 and a record breaking 55 in 2023, most of which were gun-related. Seeing men in black coming towards you and not identifying themselves will naturally cause one to move,” according to the family member.

In recent times, robberies and burglaries have been reported in the Cedars area where a group of people have been reportedly breaking into properties and using a strange substance to sedate their targets. It is understood that police will be on alert, but identifying themselves as police is basic procedure that was not followed.
Had the men simply identified themselves as police, this grave situation could have been avoided, the family member said.
One News SVG will bring more details on this story when the police and the victim’s family release more information.

